【有声病例】前交叉韧带断裂,外侧半月板后角撕裂
2018-04-16 16:55:44
影像病例【1】
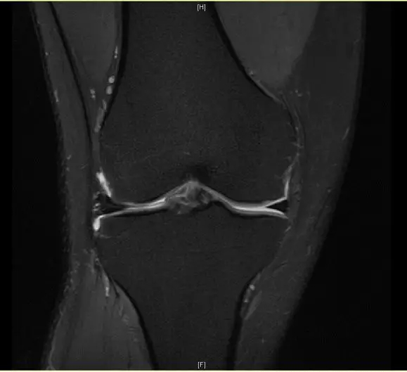
前交叉韧带断裂,外侧半月板后角撕裂
从此片我们可以看到前交叉韧带的上止点高信号,前交叉韧带角度增加,后交叉韧带的夹角增大,从这个层面可以看到外侧半月板边缘不清楚不完整质地不均一,混杂有高信号的改变,并且内部有一些裂隙,从这个层面我们可以看到前交叉韧带的下止点相对比较完整,而这个层面上止点信号异常,韧带松弛并且有大量的渗出病变,缺乏张力。这个层面也可以看到髁间窝这个部位凸起,看不到应有的上止点信号。所以这个病例我们需要考虑前交叉韧带断裂,外侧半月板后角撕裂。
微信扫一扫
关注该公众号













