【有声病例】踝关节距腓前韧带的损伤
2018-04-25 08:46:35
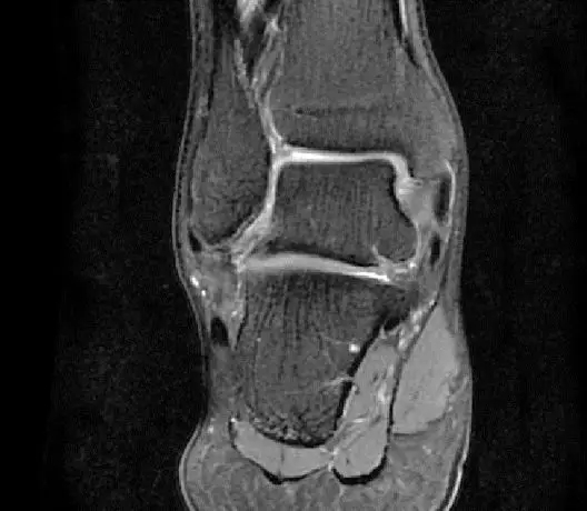
踝关节距腓前韧带的损伤





踝关节距腓前韧带的损伤
此片可以看到韧带结构消失,T2相高信号,整体韧带增粗,松弛,腓骨肌腱内侧,跟绯肌腱的形态完全消失,它的韧带也是松弛增粗的。所以考虑是踝关节距腓前韧带的损伤。

微信扫一扫
关注该公众号
踝关节距腓前韧带的损伤





踝关节距腓前韧带的损伤
此片可以看到韧带结构消失,T2相高信号,整体韧带增粗,松弛,腓骨肌腱内侧,跟绯肌腱的形态完全消失,它的韧带也是松弛增粗的。所以考虑是踝关节距腓前韧带的损伤。

微信扫一扫
关注该公众号
Copyright © 2018-2022 苏州朗润医疗系统有限公司 版权所有 苏ICP备16058557号-4 技术支持:苏州网站建设